
Receive $200.00 off Invisalign® Treatment and Free Whitening when you mention our website!
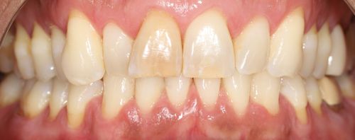
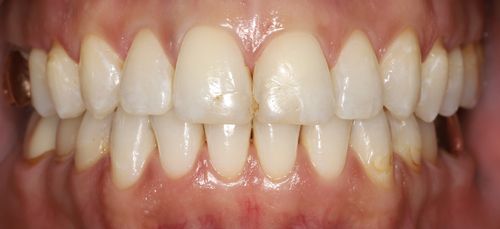
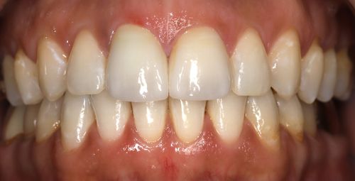
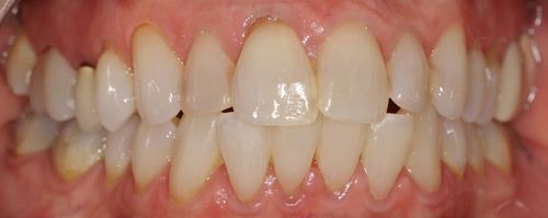
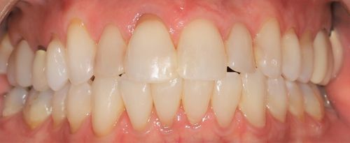
Imagine a beautifully straight smile without all the restrictions and difficulties of brackets and wires all over your teeth. That’s what makes Invisalign® one of the most popular modern treatment options at Moore Dental in Lewis Center.

The clear aligners from Invisalign® allow you to straighten your teeth without the obvious appearance of metal braces.
With Invisalign’s removable aligners, you can eat and drink anything you want. Simply remove the aligners and replace them when you’re finished.
Because the aligners are removable, you may engage in activities that traditional wire braces may restrict.
With Invisalign®, each aligner is custom designed to fit precisely over the teeth as it puts gentle pressure on the teeth to move them into place. There are no wires and brackets that may cause bleeding and discomfort.
No special brushing needed. Simply remove the aligners, perform your regular oral hygiene tasks, and put the aligners back in place.
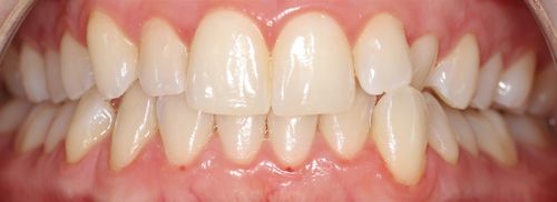
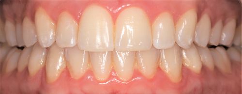
Straightened teeth lead to better lifelong oral health. They are easier to clean and less prone to chipping and decay. Straighter teeth also reduce the likelihood of gingivitis and gum disease.
At Moore Dental at Lewis Center, it’s simple and free to see if Invisalign® will work for you. During your consultation, Dr. Moore will assess your oral health and analyze whether Invisalign® is the best treatment solution for your specific situation.
The road to your beautifully straight smile begins with a personalized treatment plan. Dr. Moore will take detailed images and impressions of your teeth to determine your Invisalign® journey. Your plan will detail the length of treatment, the expected results and financial arrangements for care. Your timeline for transformation involves many factors, but adults can typically expect about a year and teenagers around eighteen months.
When your new aligners are ready, Dr. Moore will walk you through the simple process of wearing them. Invisalign® clear aligners are made of BPA-free smooth plastic and are specifically designed for your teeth. So you can fully expect them to fit nicely and be comfortable as you wear them for about 20 to 22 hours a day. Remember, they can be removed to eat, drink or engage in activities where removal is helpful.
As each Invisalign® aligner gently moves your teeth into position, you’ll need to switch to a new next-step aligner weekly. Precision crafted, each aligner is designed to build upon the previous aligner to shift your teeth about 1/10mm per tray. With each new aligner, you’ll begin to see your teeth move closer and closer to their final destination. Dr. Moore will see you at regular intervals throughout your treatment to ensure everything is moving according to schedule.
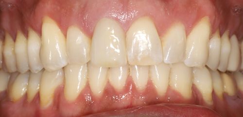
When your treatment is complete, you’ll be flashing your new confident smile for the world to see. When necessary, retainers are included in the cost of your treatment. They will help ensure your beautifully straight smile remains aligned.
Schedule a Complimentary Consultation with Dr. Moore at Moore Dental at Lewis Center in Lewis Center, OH.
schedule consultation
Studies show that a beautiful smile increases self-esteem, confidence, and overall appearance. Dr. Moore at Moore Dental at Lewis Center is ready to give you a beautifully straight smile with Invisalign®.













